Table of Contents
Washington University Experience | PERIPHERAL NEUROPATHY | 7B CIDP | 9A3 CIDP, cw (Case 9 H&E 40X.jpg
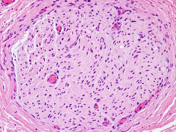
The nerve is rather unremarkable at low magnification. At higher magnification there is one fascicle in particular which is pale and apparently without myelinated axons. (H&E)
