Table of Contents
« prev
next »
Washington University Experience
|
PERIPHERAL NEUROPATHY
|
7B CIDP
|
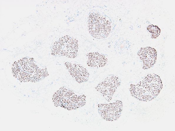
9B1 CIDP, (Case 9) compare with H&E NF 10X.jpg
9B1,2 However, there are numerous axons remaining in all of the fascicles, suggesting demyelination. (NF IHC)
Image Info
Camera Maker:
Olympus Corporation
Camera Model:
DP70
Original Time Taken:
08-11-2014
Shutter Speed:
1/850 sec
ISO Sensitivity:
200
Metering Mode:
Spot
Gallery RSS
|
Archive View
|
Login
|
Powered by
Zenphoto