Table of Contents
« prev
next »
Washington University Experience
|
PERIPHERAL NEUROPATHY
|
7B CIDP
|
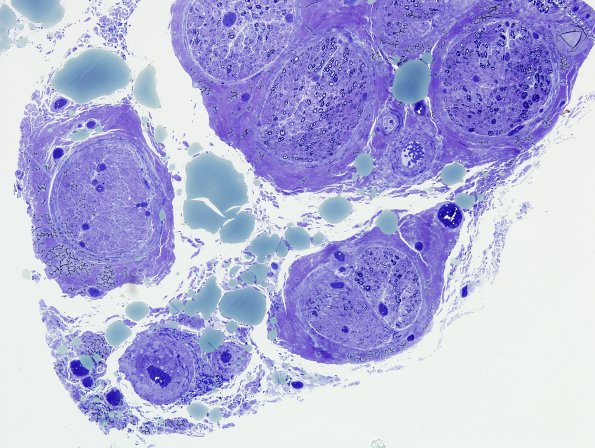
9C1 CIDP, (Case 9) Plastic 7.jpg
9C1,2 This nerve block shows numerous fascicles which have lost myelinated axons. -
Image Info
Camera Maker:
Olympus Corporation
Camera Model:
DP70
Original Time Taken:
08-11-2014
Shutter Speed:
1/590 sec
ISO Sensitivity:
200
Metering Mode:
Spot
Gallery RSS
|
Archive View
|
Login
|
Powered by
Zenphoto