Table of Contents
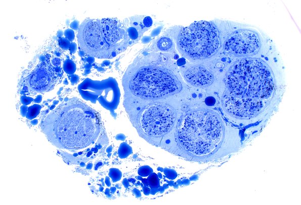
Washington University Experience | PERIPHERAL NEUROPATHY | 7B CIDP | 9C3 CIDP, (Case 9) Plastic 4X 2
9C3,4 Another block shows fascicle to fascicle myelinated axon loss as well as patchy areas of apparent axon loss within fascicles. (Plastic sections)
