Table of Contents



Washington University Experience | PERIPHERAL NEUROPATHY | 7B CIDP | 9D2 Case 9 Nerve_016A copy.jpg

9D2 Case 9 Nerve_016A copy.jpg
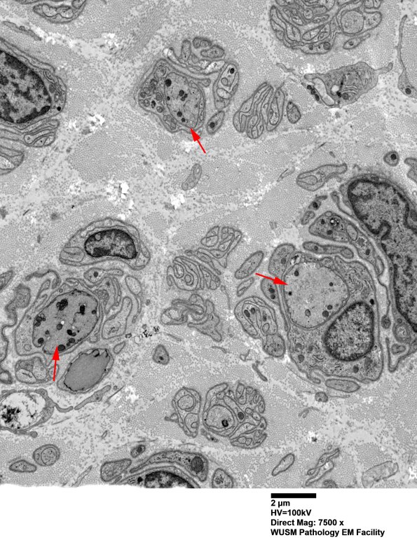
There are numerous axons with completely demyelinated axons but not macrophage-mediated demyelination. (electron micrograph)


Gallery RSS RSS Feed | Archive View | Login | Powered by Zenphoto