Table of Contents



Washington University Experience | PERIPHERAL NEUROPATHY | 7B CIDP | 9D3 Case 9 Nerve_015A.jpg

9D3 Case 9 Nerve_015A.jpg
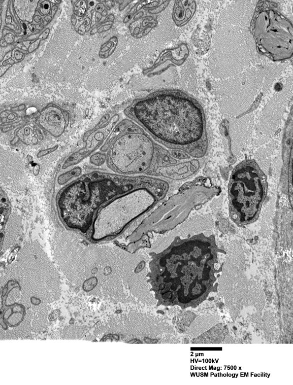
There are several small lymphocytes near the demyelinated axon and a second axon with regenerating myelin. (electron micrograph)


Gallery RSS RSS Feed | Archive View | Login | Powered by Zenphoto