Table of Contents



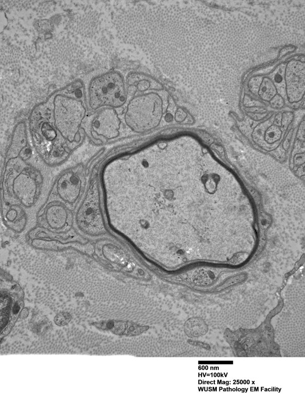
Washington University Experience | PERIPHERAL NEUROPATHY | 7B CIDP | 9D5 Case 9 Nerve_011A.jpg

9D5 Case 9 Nerve_011A.jpg
Large axons with remyelination. (electron micrograph)


Gallery RSS RSS Feed | Archive View | Login | Powered by Zenphoto