Table of Contents



Washington University Experience | PERIPHERAL NEUROPATHY | 7B CIDP | 9D7 Case 9 Nerve_017A.jpg

9D7 Case 9 Nerve_017A.jpg
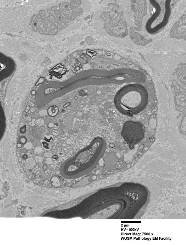
Axonal degeneration was not rare. (electron micrograph)


Gallery RSS RSS Feed | Archive View | Login | Powered by Zenphoto