Table of Contents
Washington University Experience | PERIPHERAL NEUROPATHY | 8 ACUTE MOTOR AXONAL NEUROPATTHY (AMAN) | 1A1-AMAN-Case-1-Plastic-1.jpg
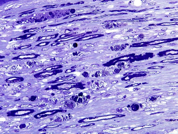
1A1,2 There was variable involvement of nerve roots. In the heavily involved distal portion of the L4 lumbar anterior root, there were numerous actively degenerating axons with endoneurial macrophages but no inflammation, demyelination or macrophage-mediated demyelination. (Plastic sections)
