Table of Contents
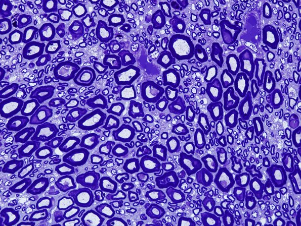
Washington University Experience | PERIPHERAL NEUROPATHY | 8 ACUTE MOTOR AXONAL NEUROPATTHY (AMAN) | 1A5 AMAN (Case 1) Plastic 12.jpg
An additional example of macrophage nuclei within the myelin sheath adjacent to the axon. (Plastic sections)
