Table of Contents
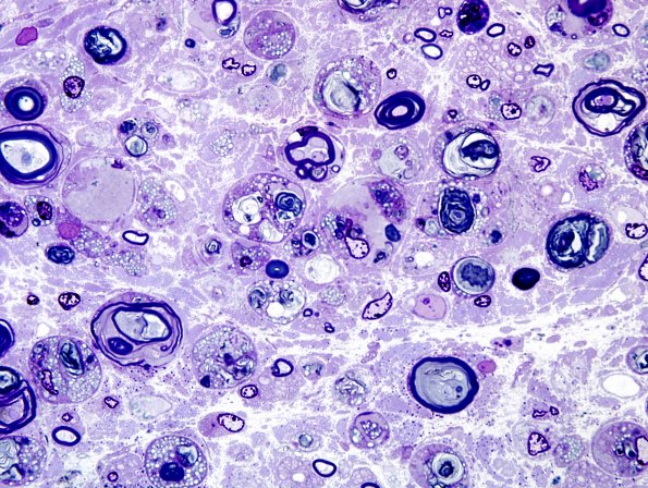
Washington University Experience | PERIPHERAL NEUROPATHY | 8 ACUTE MOTOR AXONAL NEUROPATTHY (AMAN) | 2A1 AMAN (Case 2) Plastic 1.jpg
In a portion of the sampled nerve there were numerous degenerating myelinated axons. (Plastic sections)
