Table of Contents
Washington University Experience | PERIPHERAL NEUROPATHY | 8 ACUTE MOTOR AXONAL NEUROPATTHY (AMAN) | 2A2 AMAN (Case 2) Plastic 17.jpg
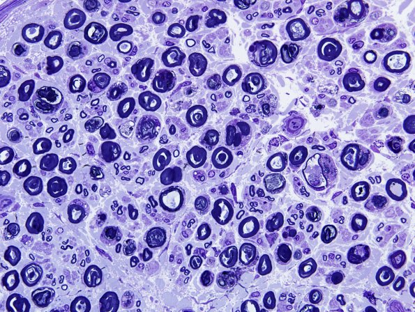
Light microscopic examination of routinely processed fixed nerve shows a mild decrease in overall axon density, a mild increase in endoneurial connective tissue and occasional degenerating axons in the absence of demyelination or macrophage-mediated demyelination
