Table of Contents
« prev
next »
Washington University Experience
|
PERIPHERAL NEUROPATHY
|
8 ACUTE MOTOR AXONAL NEUROPATTHY (AMAN)
|
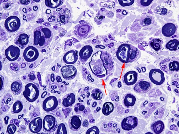
2A3 AMAN (Case 2) Plastic 18 copy.jpg
Note the intramyelinic periaxonal macrophages (arrows). (Plastic section)
Image Info
Camera Maker:
Olympus Corporation
Camera Model:
DP70
Original Time Taken:
21-04-2014
Shutter Speed:
1/10 sec
ISO Sensitivity:
200
Metering Mode:
Spot
Gallery RSS
|
Archive View
|
Login
|
Powered by
Zenphoto