Table of Contents



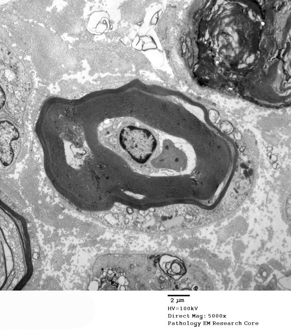
Washington University Experience | PERIPHERAL NEUROPATHY | 8 ACUTE MOTOR AXONAL NEUROPATTHY (AMAN) | 2B2 AMAN (Case 2)_002A - Copy

2B2 AMAN (Case 2)_002A - Copy
2B2,3 Higher magnifications of image #2B1. (electron micrographs)


Gallery RSS RSS Feed | Archive View | Login | Powered by Zenphoto