Table of Contents
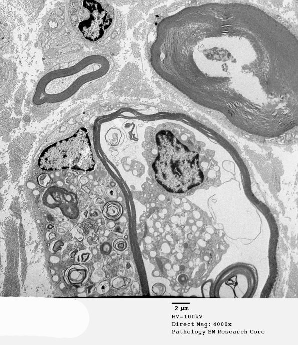
Washington University Experience | PERIPHERAL NEUROPATHY | 8 ACUTE MOTOR AXONAL NEUROPATTHY (AMAN) | 2B4 AMAN (Case 2)_016A - Copy
2B4,5 The macrophage is within the myelin sheath which is degenerating as is the adjacent axon. (electron micrographs)
