Table of Contents
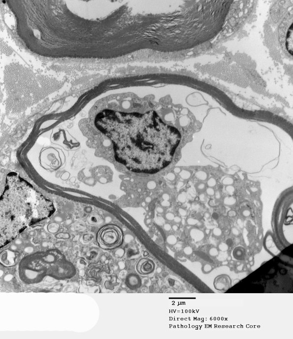
Washington University Experience | PERIPHERAL NEUROPATHY | 8 ACUTE MOTOR AXONAL NEUROPATTHY (AMAN) | 2B5 AMAN (Case 2)_017A - Copy
The macrophage is within the myelin sheath which is degenerating as is the adjacent axon. (electron micrographs) ---- Not shown: Teased fiber preparations, although showing no evidence of myelin digestion chambers (associated with axonal degeneration), do show discontinuities in the myelin sheath of some axons.
