Table of Contents
Washington University Experience | PERIPHERAL NEUROPATHY | 9A SARCOID | 1A1 Sarcoid, no bugs (Case 1) H&E 5
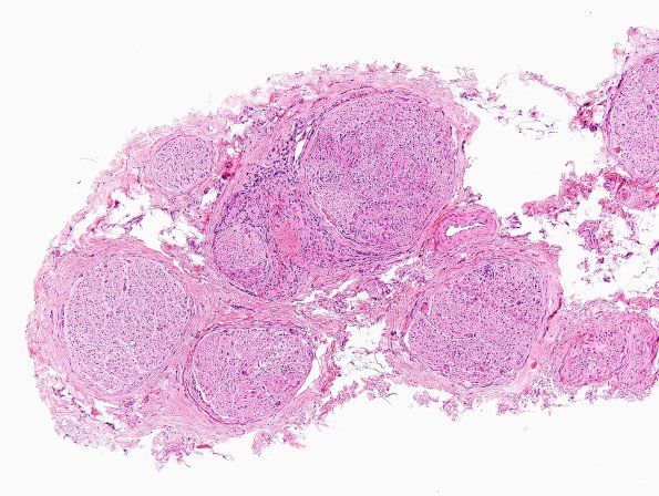
1A1-3 Microscopic examination of H&E stained sections of the sural nerve biopsy show the presence of a lymphohistiocytic infiltrate with formation of non-necrotizing granulomas involving the epineurium, perineurium, and endoneurium. The process has a patchy distribution and involves some fascicles while sparing others. (H&E)
