Table of Contents
Washington University Experience | PERIPHERAL NEUROPATHY | 9A SARCOID | 1A2 Sarcoid, (Case 1) H&E 4
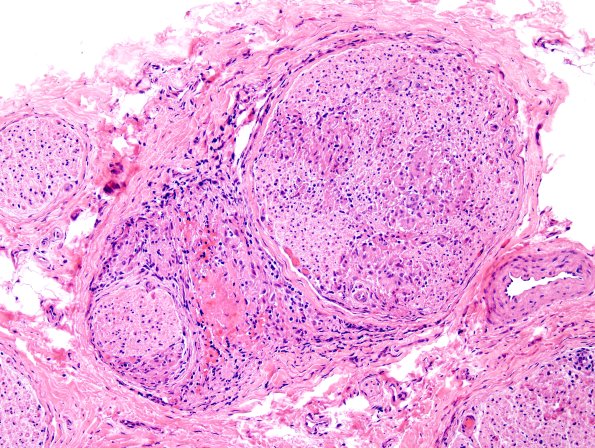
Microscopic examination of H&E stained sections of the sural nerve biopsy show the presence of a lymphohistiocytic infiltrate with formation of non-necrotizing granulomas involving the epineurium, perineurium, and endoneurium.
