Table of Contents



Washington University Experience | PERIPHERAL NEUROPATHY | 9A SARCOID | 1A4 Sarcoid, no bugs (Case 1) H&E 9

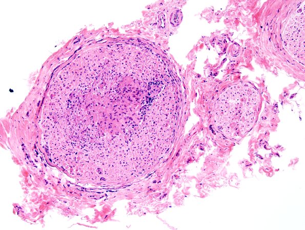
1A4 Sarcoid, no bugs (Case 1) H&E 9
1A4,5 This fascicle shows a prominent central granuloma, seen at higher magnification in image #1A5. (H&E)


Gallery RSS RSS Feed | Archive View | Login | Powered by Zenphoto