Table of Contents



Washington University Experience | PERIPHERAL NEUROPATHY | 9A SARCOID | 1A5 Sarcoid, no bugs (Case 1) H&E 6

1A5 Sarcoid, no bugs (Case 1) H&E 6
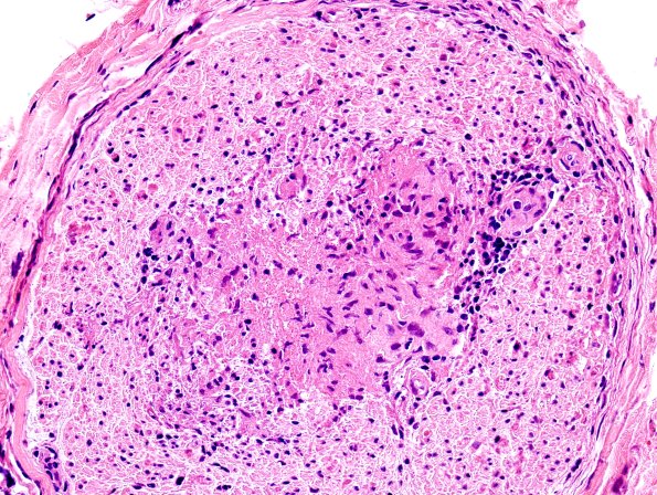
Higher magnification of image #1A5. Axons are displaced to the periphery by the central granuloma. (H&E)


Gallery RSS RSS Feed | Archive View | Login | Powered by Zenphoto