Table of Contents



Washington University Experience | PERIPHERAL NEUROPATHY | 9A SARCOID | 1A6 Sarcoid, no bugs (Case 1) H&E 1

1A6 Sarcoid, no bugs (Case 1) H&E 1
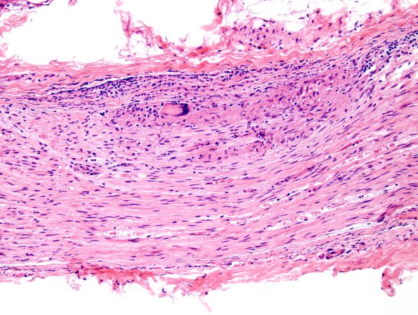
Usually peripheral nerve granulomas in sarcoid do not have multinucleated giant cells but here is an example. (H&E)


Gallery RSS RSS Feed | Archive View | Login | Powered by Zenphoto