Table of Contents



Washington University Experience | PERIPHERAL NEUROPATHY | 9A SARCOID | 1B1 Sarcoid, no bugs (Case 1) Muscle 3

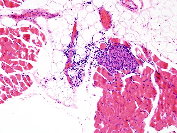
1B1 Sarcoid, no bugs (Case 1) Muscle 3
Sarcoid, in distinction to leprosy, do involve skeletal muscle (H&E)


Gallery RSS RSS Feed | Archive View | Login | Powered by Zenphoto