Table of Contents
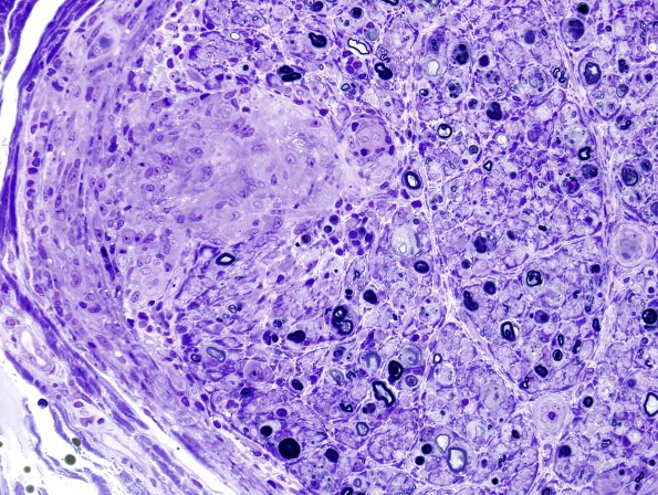
Washington University Experience | PERIPHERAL NEUROPATHY | 9A SARCOID | 1E1B Sarcoid, no bugs (Case 1) Plastic 3A
Plastic sections show severe loss of both large and small myelinated axons (large>small) as well as actively degenerating axons. There are large myelinated axons with myelin sheaths which are thin for caliber and focal regenerative clusters are present. There is a variable amount of perineurial involvement. (Plastic sections)
