Table of Contents
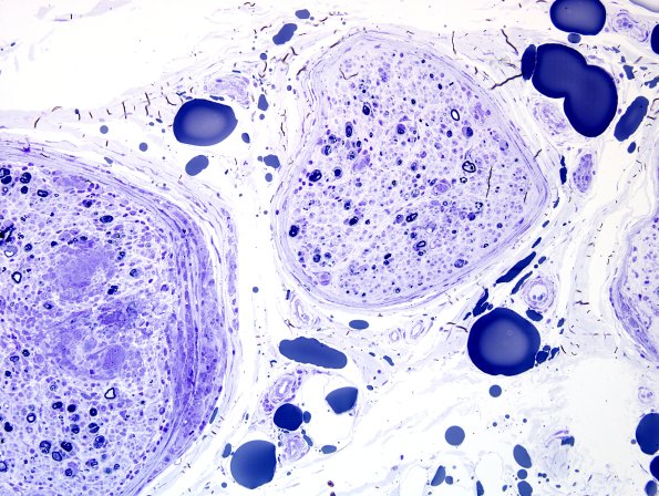
Washington University Experience | PERIPHERAL NEUROPATHY | 9A SARCOID | 1E2A Sarcoid, no bugs (Case 1) plastic A2.jpg
1E2A,B A low magnification image shows granulomatous involvement of the left fascicle involving both endoneurium and perineurium. The right fascicle is quite pale with marked axon loss and no granulomata, at least at that level. (Plastic sections)
