Table of Contents
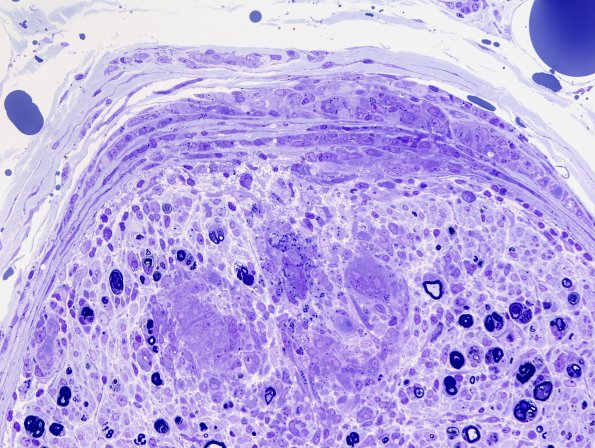
Washington University Experience | PERIPHERAL NEUROPATHY | 9A SARCOID | 1E2B Sarcoid, no bugs (Case 1) plastic 2.jpg
A low magnification image shows granulomatous involvement of the left fascicle involving both endoneurium and perineurium.
