Table of Contents
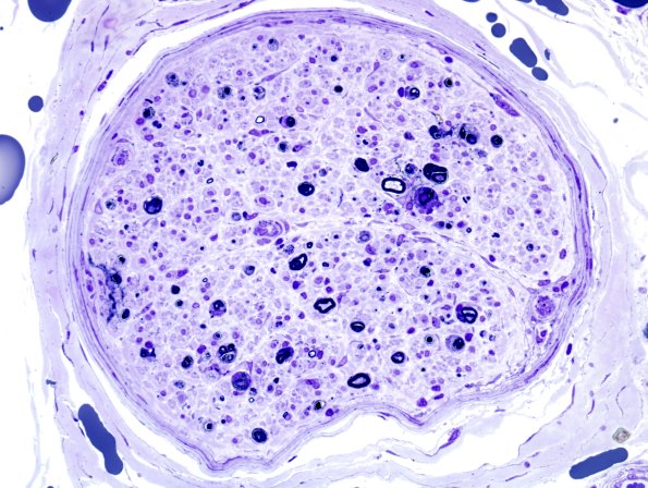
Washington University Experience | PERIPHERAL NEUROPATHY | 9A SARCOID | 1E7A Sarcoid, no bugs (Case 1) Plastic 20
1E7A,B-This is a fascicle with marked loss of axons lacking granulomas, which likely are present at a more proximal level. (Plastic sections)
