Table of Contents



Washington University Experience | PERIPHERAL NEUROPATHY | 9A SARCOID | 1F4 (Case 1)_002 - Copy

1F4 (Case 1)_002 - Copy
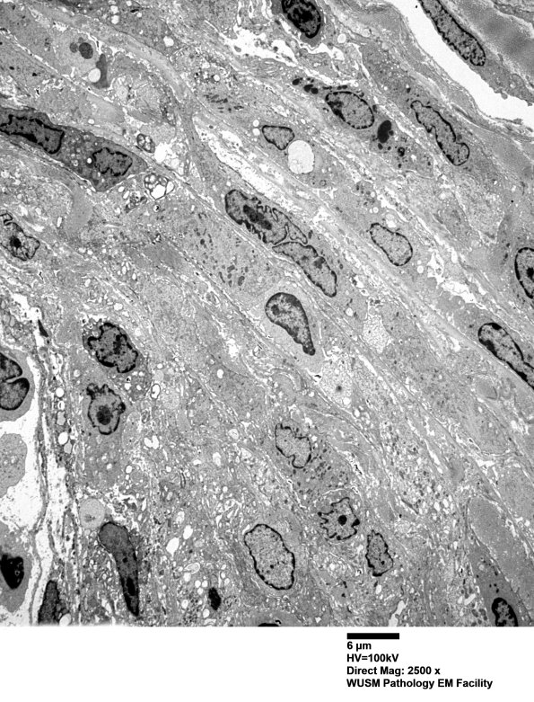
Higher magnification images show numerous epithelioid histiocytes. (electron micrographs)


Gallery RSS RSS Feed | Archive View | Login | Powered by Zenphoto