Table of Contents



Washington University Experience | PERIPHERAL NEUROPATHY | 9A SARCOID | 1F5 Sarcoid, no bugs (Case 1) EM 009 - Copy

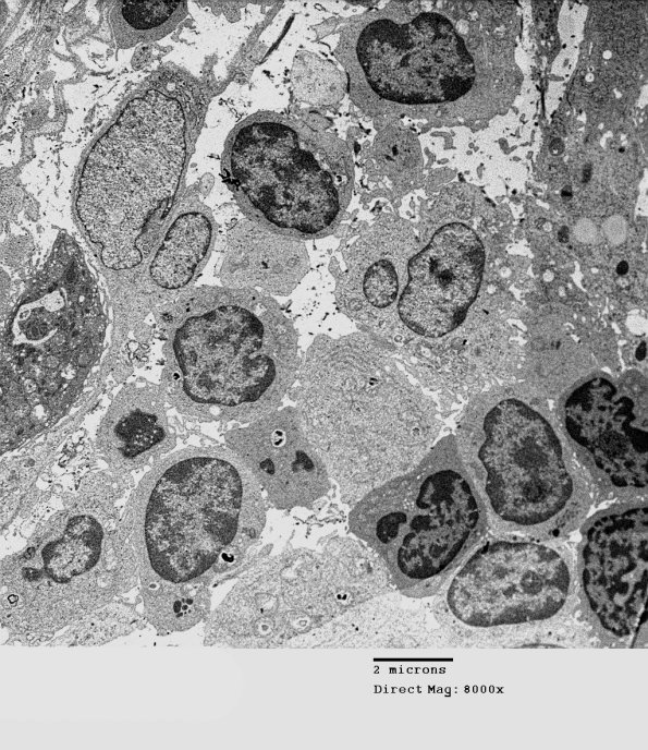
1F5 Sarcoid, no bugs (Case 1) EM 009 - Copy
1F5-7 Higher magnification of constituent inflammatory elements. (electron micrographs)


Gallery RSS RSS Feed | Archive View | Login | Powered by Zenphoto