Table of Contents
Washington University Experience | PERIPHERAL NEUROPATHY | 9A SARCOID | 1G3 Sarcoid, no bugs (Case 1) EM 14 - Copy
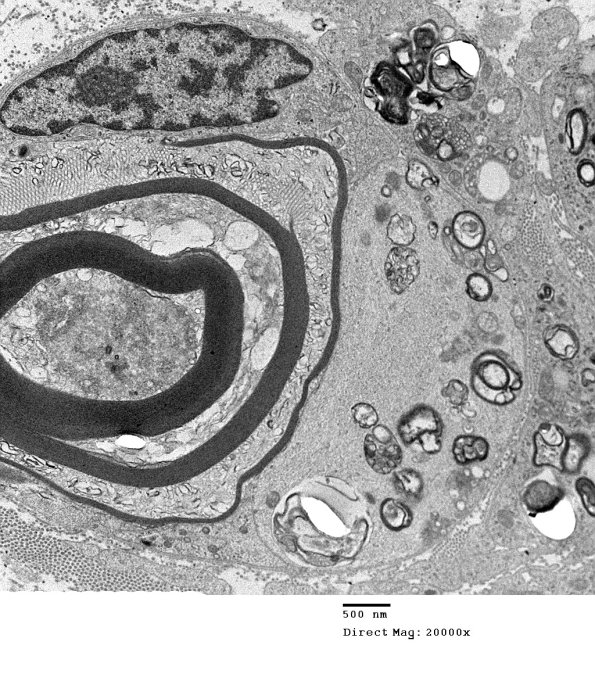
Much of the fascicle looked very axon depopulated with some residual debris and a few ongoing degenerating axons. (electron micrograph)
