Table of Contents
Washington University Experience | PERIPHERAL NEUROPATHY | 9A SARCOID | 2A1 sarcoid & Chronic Denervation (Case 2) copy
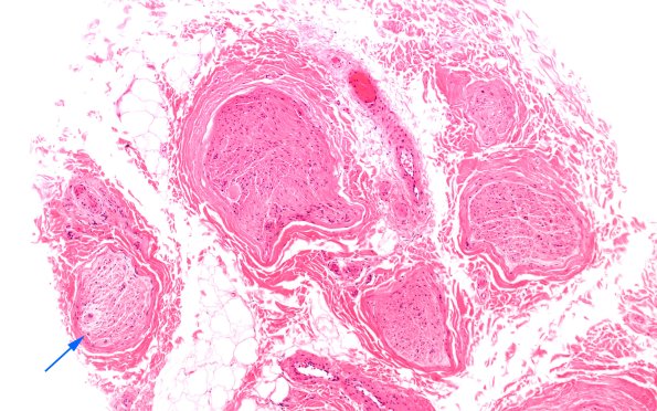
This low magnification image shows multiple fascicles with no inflammatory changes or vasculitis in paraffin sections. One fascicle is pale (arrow) evidence of axonal loss. (H&E)
