Table of Contents
« prev
next »
Washington University Experience
|
PERIPHERAL NEUROPATHY
|
9A SARCOID
|
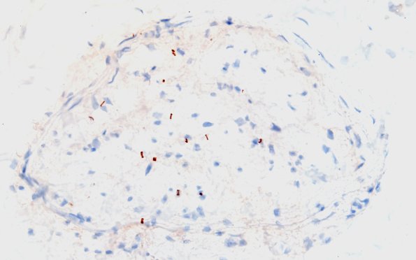
2B Sarcoid & Chronic Denervation (Case 2) NF IHC 60X
All fascicles showed marked axon loss. (NF IHC)
Image Info
Camera Maker:
Olympus
Camera Model:
DP74
Shutter Speed:
9/1000 sec
Metering Mode:
Multi-Spot
Gallery RSS
|
Archive View
|
Login
|
Powered by
Zenphoto