Table of Contents
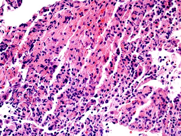
Washington University Experience | PERIPHERAL NEUROPATHY | 9A SARCOID | 2C1 Sarcoid & Chronic Denervation - lung Bx (Case 2) H&E 1.jpg
A transbronchial biopsy showed a vague collection of histiocytes reminiscent of a non-necrotizing granuloma. (H&E)
