Table of Contents
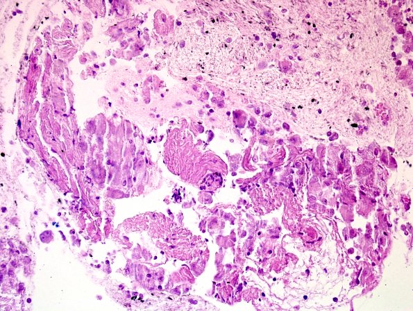
Washington University Experience | PERIPHERAL NEUROPATHY | 9A SARCOID | 2C3 Sarcoid & Chronic Denervation - lung FNA Case 2) AFB.jpg
An endobronchial ultrasound-guided fluoroscopy assisted fine needle aspiration of a lung lesion showed non-necrotizing granulomatous inflammation without fungal or AFB organisms. (H&E)
