Table of Contents
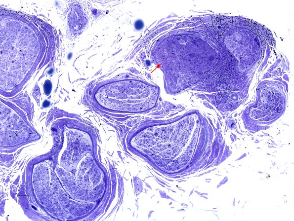
Washington University Experience | PERIPHERAL NEUROPATHY | 9A SARCOID | 2D1 Sarcoid & Chronic Denervation (Case 2) Plastic 2 copy.jpg
2D1,2 There is marked loss of large and small myelinated axons. One fascicle contains a granuloma within the endoneurium and perineurium accompanied by small lymphocytes and rare plasmacytoid forms cuffing an adjacent epineurial vessel. (Plastic sections)
