Table of Contents
« prev
next »
Washington University Experience
|
PERIPHERAL NEUROPATHY
|
9A SARCOID
|
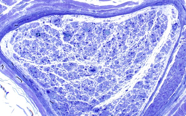
2D6 sarcoid & Chronic Denervation (Case 2) Plastic 40X 3
The loss of axons in most fascicles is nearly complete. (Plastic sections)
Image Info
Camera Maker:
Olympus
Camera Model:
DP74
Shutter Speed:
30/5597 sec
Metering Mode:
Multi-Spot
Gallery RSS
|
Archive View
|
Login
|
Powered by
Zenphoto