Table of Contents
Washington University Experience | PERIPHERAL NEUROPATHY | 9A SARCOID | 2E1 (Case 2) Nerve_136 - Copy
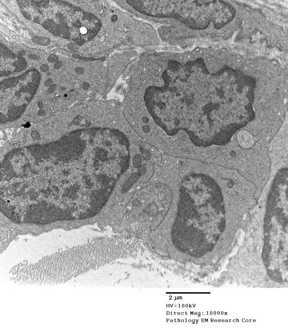
2E1-6 Epithelioid histiocytes do not contain the autophagosomes that dominate the appearance of macrophages although they are derived from the same cell lineage. (electron micrographs)
