Table of Contents
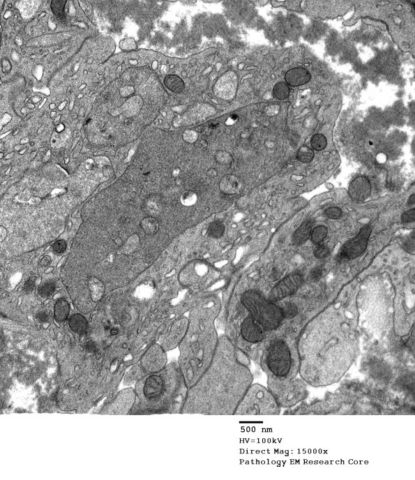
Washington University Experience | PERIPHERAL NEUROPATHY | 9A SARCOID | 2E3 (Case 2) Nerve_084 - Copy
Epithelioid histiocytes do not contain the autophagosomes that dominate the appearance of macrophages although they are derived from the same cell lineage. (electron micrographs)
