Table of Contents
Washington University Experience | PERIPHERAL NEUROPATHY | 9A SARCOID | 2E7 Sarcoid & Chronic Denervation (Case 2) EM 094 - Copy
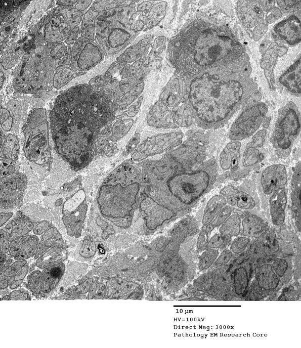
Endoneurial lymphocytes and rare plasmacytoid elements are also demonstrated ultrastructurally. (electron micrographs)
