Table of Contents



Washington University Experience | PERIPHERAL NEUROPATHY | 9A SARCOID | 2E9 (Case 2) Nerve_137 - Copy

2E9 (Case 2) Nerve_137 - Copy
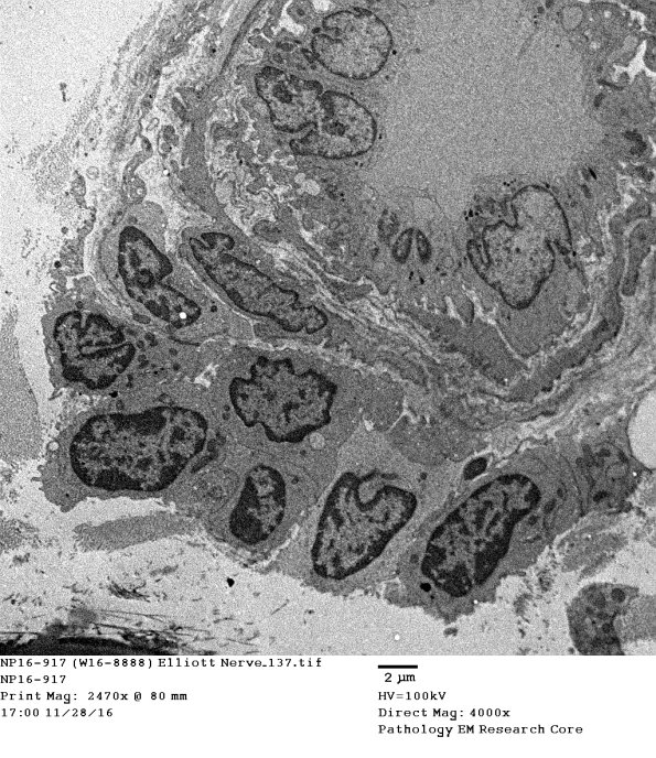
Endoneurial lymphocytes and rare plasmacytoid elements are also demonstrated ultrastructurally. (electron micrographs)


Gallery RSS RSS Feed | Archive View | Login | Powered by Zenphoto