Table of Contents



Washington University Experience | PERIPHERAL NEUROPATHY | 9A SARCOID | 2F2 Sarcoid & Chronic Denervation (Case 2) EM 132 - Copy

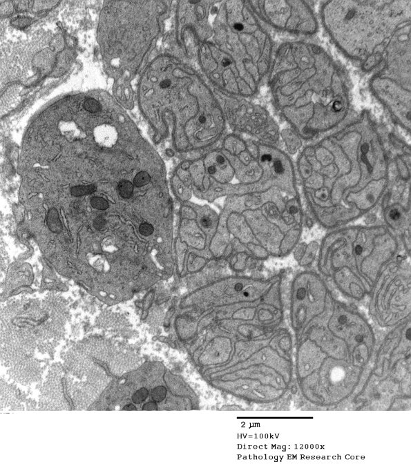
2F2 Sarcoid & Chronic Denervation (Case 2) EM 132 - Copy
Schwann cells form bands of Büngner once axons degenerate. (electron micrographs)


Gallery RSS RSS Feed | Archive View | Login | Powered by Zenphoto