Table of Contents
Washington University Experience | PERIPHERAL NEUROPATHY | 9A SARCOID | 2F4 Sarcoid & Chronic Denervation (Case 2) EM 123 - Copy
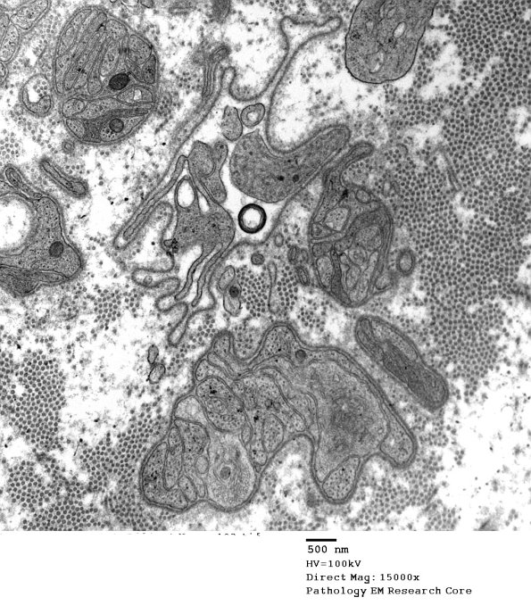
2F4,5 In some cases bands of Büngner lose Schwann processes with time and few processes remain within corregated basement membranes. (electron micrographs)
