Table of Contents



Washington University Experience | PERIPHERAL NEUROPATHY | 9A SARCOID | 3A2 Sarcoid (Case 3) H&E 2 copy

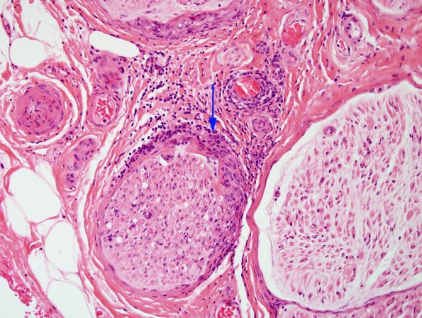
3A2 Sarcoid (Case 3) H&E 2 copy
This H&E stained preparation shows granulomatous proliferation in the perineurium. (H&E)


Gallery RSS RSS Feed | Archive View | Login | Powered by Zenphoto