Table of Contents
Washington University Experience | PERIPHERAL NEUROPATHY | 9A SARCOID | 3B2 Sarcoid (Case 3) Plastic 13A
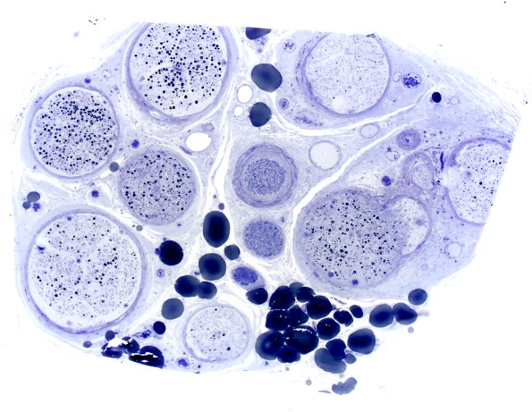
The most striking abnormality in these low magnification images is the fascicle to fascicle variability in axon density. (Plastic sections)
