Table of Contents



Washington University Experience | PERIPHERAL NEUROPATHY | 9A SARCOID | 3B5A Sarcoid (Case 3) Plastic 16

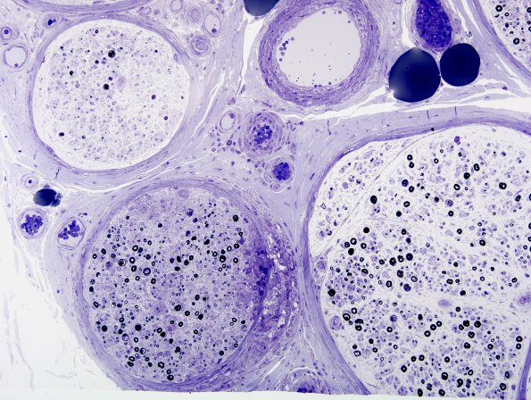
3B5A Sarcoid (Case 3) Plastic 16
3B5A-C Multiple magnifications of granulomatous perineurial infiltrates. (Plastic sections


Gallery RSS RSS Feed | Archive View | Login | Powered by Zenphoto