Table of Contents



Washington University Experience | PERIPHERAL NEUROPATHY | 9A SARCOID | 3B6A Sarcoid (Case 3) Plastic 24

3B6A Sarcoid (Case 3) Plastic 24
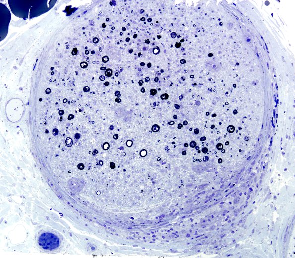
3B6A,B A focus of perineurial extension is accompanied by endoneurial small granulomas. (Plastic sections)


Gallery RSS RSS Feed | Archive View | Login | Powered by Zenphoto