Table of Contents



Washington University Experience | PERIPHERAL NEUROPATHY | 9A SARCOID | 3B7 Sarcoid (Case 3) Plastic 3

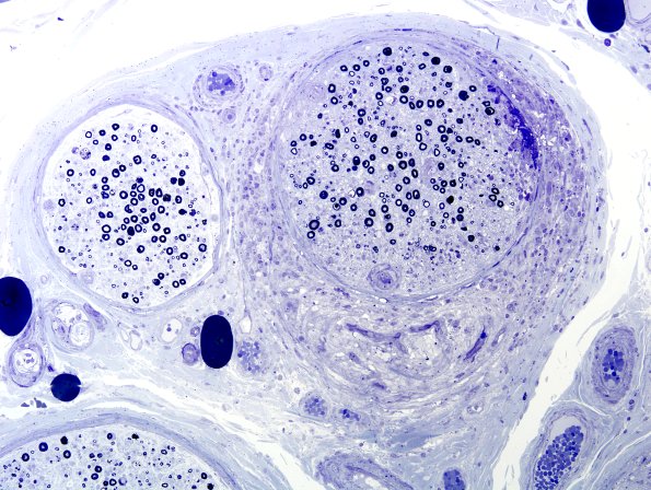
3B7 Sarcoid (Case 3) Plastic 3
Nearly concentric involvement of the perineurium. (Plastic section)


Gallery RSS RSS Feed | Archive View | Login | Powered by Zenphoto