Table of Contents
Washington University Experience | PERIPHERAL NEUROPATHY | 9A SARCOID | 4B1 Sarcoid (Case 4) WM H&E copy
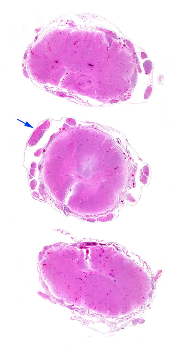
This whole mount of the spinal cord shows extensive involvement of the leptomeninges, superficial Virchow-Robin spaces and multiple spinal roots alone (arrow) and in continuity with the cord leptomeninges. (H&E)
