Table of Contents
Washington University Experience | PERIPHERAL NEUROPATHY | 9A SARCOID | 5A1 Sarcoid NP (Case 5) LFB-H&E 4.jpg
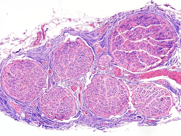
The sural nerve shows moderate axon loss but no granulomatous involvement is discernable at low magnification. (H&E-LFB)
