Table of Contents
« prev
next »
Washington University Experience
|
PERIPHERAL NEUROPATHY
|
9A SARCOID
|
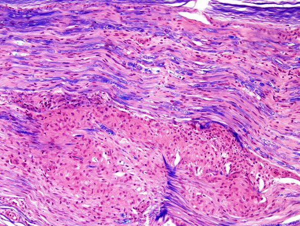
5A4 Sarcoid NP (Case 5) LFB-H&E 3.jpg
Additional longitudinal sections show axon loss and multiple granulomas. (H&E-LFB)
Image Info
Camera Maker:
Olympus Corporation
Camera Model:
DP70
Original Time Taken:
13-12-2012
Shutter Speed:
1/530 sec
ISO Sensitivity:
200
Metering Mode:
Spot
Gallery RSS
|
Archive View
|
Login
|
Powered by
Zenphoto