Table of Contents



Washington University Experience | PERIPHERAL NEUROPATHY | 9A SARCOID | 5A5 Sarcoid NP (Case 5) H&E 1

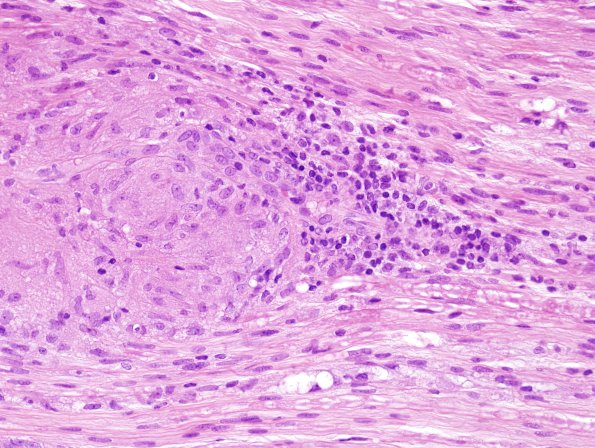
5A5 Sarcoid NP (Case 5) H&E 1
Higher magnification of the edge of a granuloma. (H&E)


Gallery RSS RSS Feed | Archive View | Login | Powered by Zenphoto